logotelefonadres
catala
espanyol

Endodòncia

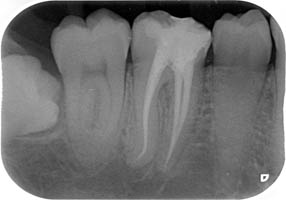
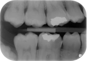
La endodòncia és la part de la odontologia que tracta la pulpa dental (o nervi de les dents). Aquesta pulpa està localitzada en un sistema de conductes radiculars que tenen les dents.

La majoria de vegades, les patologies que afecten la pulpa dental són produides per grans càries. Quan això succeeix, es produeix una inflamació o necrosis del teixit de la pulpa dental, i és necessària la extirpació d'aquesta. Això requereix un desbridament i conformació d'aquests conductes, i una obturació o segell dels mateixos amb materials biocompatibles. Això és el que es coneix com una endodòncia, o vulgarment dit, "matar el nervi".

endo1 endo2 endo3

Aquest tractaments és complexe. Normalment, es pot realitzar en una visita, tot i que de vegades es necessitin més segons la complexitat del cas (nombre d'arrels del queixal, corvatura i longitut, de les mateixes, calcificacions de la pulpa, etc.)

És un tractament que es indolor, ja que es realitza amb anestèsia local. Sí que és normal, que durant els dies posteriors a la seva realització hi apareixin molèsties o dolor postoperatoris, sent necessària l'administració d'analgèsics.

El contenido de esta página requiere una versión más reciente de Adobe Flash Player.

Obtener Adobe Flash Player

SúriaDental Av.Ajuntament,14 938682205 Súria