logotelefonadres
catala
espanyol

La primera visita

La primera visita és molt important. Pot ser la més important de totes, ja que és on es realitza el diagnóstic i pla de tractament a seguir. Al nostre centre dental, en tenim cura de que aquest sigui el més acurat possible, i no hi hagin gaires canvis en la planificació del tractament, que puguin canviar la durada o pressupost del mateix.

A excepció del cas de les urgències, a la primera visita no s'acostuma a realitzar tractaments, ja que sempre es comença per un estudi previ, i aquesta primera visita es dedica a la presa de registres per establir el diagnòstic i el pla de tractament. D'aquesta manera es poden reduir al mínim els errors per precipitació o per estimacions rapides i superficials, i assegurar així que el tractament serà el més apropiat de entre els possibles.

En aquesta primera visita sempre realitzem:

  • un questionari per establir la situació médica general del pacient
  • una exploració clínica completa
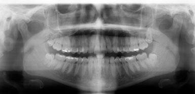
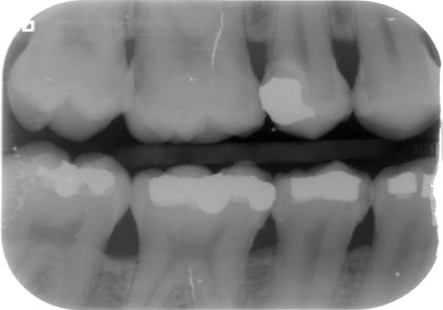
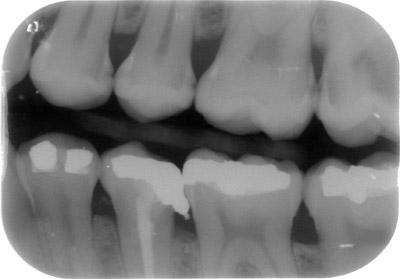
  • la realització de dos radiografies intraorals (aletes de mossegada) o extraoral (ortopantomografia ) per arribar al diagnóstic més acurat.

Normalment, amb la exploració clínica s'aprecien molts signes de malalties del pacient: càries, inflamació de genives, sagnat de genives, leucoplàsies, ulceracions, etcètera. Tot així, hi han moltes vegades que el diagnóstic no es pot realitzar, o aquest pot ser erroni si no es realitzen les proves complementàries adients. Al nostre centre disposem de potents càmeres intraorals que ens permeten identificar petites lesions de les dents (fisures, fractures, etc) que d'altre manera passarien desapercebudes.

caries1 caries2 caries3 caries4    

A més, és molt important la realització de radiografies de dignòstic, tant a la primera visita com a les futures revisions, ja que el major nombre de les càries comencen als punts de contacte entre les dents o queixals, i aquests són innaccesibles visualment amb una exploració convencional.

aletadreta aletaesq   ortopanto

SúriaDental Av.Ajuntament,14 938682205 Súria