logotelefonadres
catala
espanyol
ortod

És difícil separar els tipus de tractaments entre els estètics i els que no ho són, ja que avui dia la estètica juga un papel fonamental i tots els tractaments han de estar realitzats sota les regles del que considerem estètica. Tot i així, hi han una sèrie de tractaments que afecten les dents anteriors i que tenen una importància capdal a l'hora de millorar l'aspecte del nostre somriure. Us els explicarem una mica.

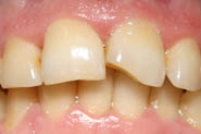
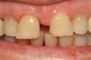
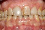
Tancament d'espais (o diastemes)

Es tracta de tancar els espais oberts entre dues o més dents amb materials estètics -composites o ceràmiques- a fi d'aconseguir una millor aparença estètica. Es realitza en una sola visita.

diastema3 diastema4 diastema1 diastema2

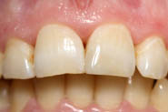
Tancament de triangles negres (o troneres)

Es tracta de tancar els espais oberts entre dues o més dents per retracció de les genives, normalment per malalties periodontals, amb materials estètics -composites o ceràmiques- a fi d'aconseguir una millor aparença estètica. Es realitza en una sola visita.

tronera1 tronera tronera

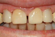
Reconstruccions per fractures

Avui dia, amb les resines estètiques, podem realitzar recosntruccions del borde incisal de les dents fracturades totalment invisibles. A més, no es necessari desgastar l'estructura de dent remanent; sent, per tant, un tractament molt conservador. Es realitza en una sola visita.

reconstruccio reconstruccio rec angle rec

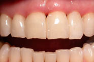
Carilles de ceràmica

Les carilles de ceràmica, són unes fines làmines de porcellana, mitjançant les quals modifiquem la forma i el color de les dents pròpies. La seva duresa i adhesió les converteixen en el material ideal per aconseguir la màxima estètica. Requereixen un mínim de 2 visites.

carilles/inici carilles/preparacio carilles/cimentat carilles/final

SúriaDental Av.Ajuntament,14 938682205 Súria