logotelefonadres
catala
espanyol
ortod

Blanquejaments dentals

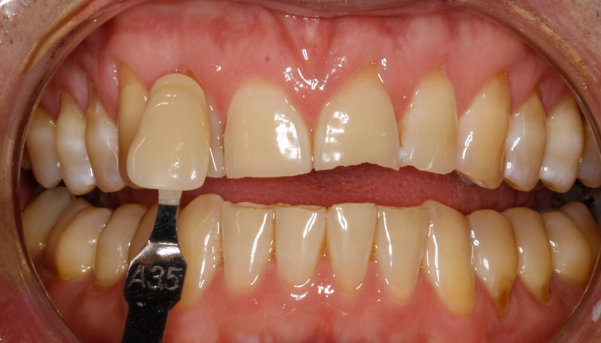
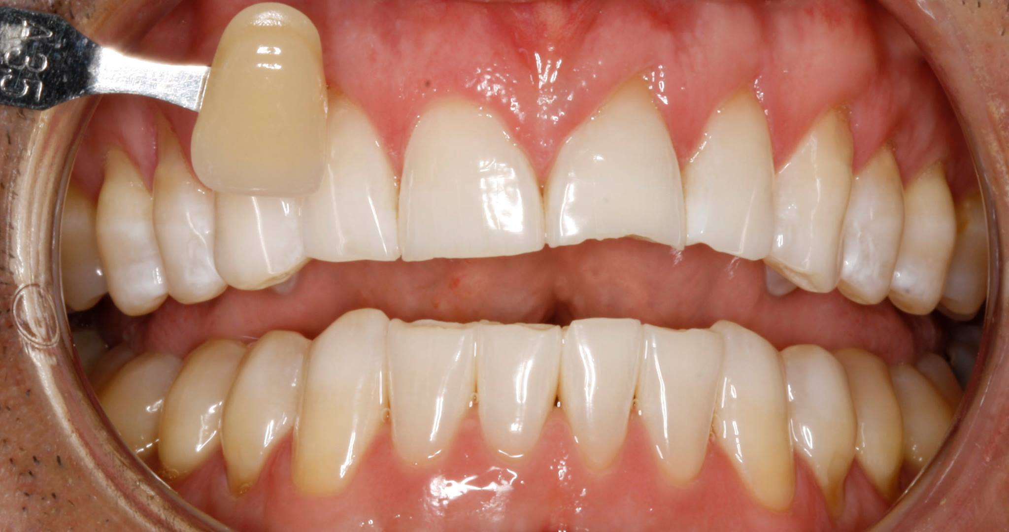
Avui dia tenim a disposició uns productes fantàstics per aconseguir lluir un somriure més blanc

La tècnica que fem servir nosaltres és la de combinar unes sessions de blanquejament a la consulta -1 cop per setmana, 45 minuts-, i l'aplicació del producte que nosaltres li proporcionem totes les nits, durant aproximadament 3 setmanes. Aquest tipus de combinació, a casa i a la consulta, és la que ens ha donat uns resultats espectaculars.

ortod

Situació inicial abans del blanquejament

ortod

Situació final després del blanquejament

El producte que es fa servir per a blanquejar les dents gairebé sempre és el mateix. Normalment es fa servir:

  • Peròxid de carbamida al 10, 16 o 22% durant les nits (a casa)
  • Peròxid d'hidrógen al 3, 7.5 o 9% durant 1 hora al dia (a casa).
  • Peròxid d'hidrógen al 37.5% a la consulta dental per l'odontòleg.

A nivell domèstic, el producte blanquejant s'aplica a l'interior d'unes fèrul.les flexibles que prèviament s'han confeccionat a la mida del pacient. És molt còmode, fiable i pràcticament no produeix efectes adversos. Síhem de tenir en conte que pot aparèixer sensibilitat dental durant el temps del tractament, però que normalment és molt soportable i que desapareix al finalitzar el tractament.

És important remarcar que, abans de començar el blanquejament, serà l'odontòleg qui valori si ets un pacient candidat a fer-te aquest tipus de tractament, i quin nivell de resultats es pot aconseguir.

SúriaDental Av.Ajuntament,14 938682205 Súria